ICON THERAPY

치아는 또 하나의 피부입니다.

작은 반점이 사라질 때, 미소는 더 환해집니다.

치아 표면의 흰 반점은 단순한 색 변화가 아니라, 건강과 인상에 영향을 줄 수 있습니다.

아이콘 테라피는 자연스럽고 안전하게 반점을 제거해, 매끈한 치아 톤과 환한 미소를 되찾아드립니다.

ICON Therapy

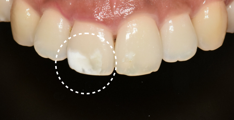
아이콘 테라피란?


치아 표면에 생긴 흰 반점(White spot)을 제거하기 위한 비침습 치료

치아를 깎지 않고 특수 레진을 치아 표면에 침투시켜 자연스럽게 톤을 개선하는

방식입니다. 기존 조직을 보존하면서도 눈에 띄는 반점을 안전하고 효과적으로

완화할 수 있어 심미성과 건강을 동시에 고려하는 현대적인 치료입니다.
White Spot에는

MIR ICON Therapy

치아에 하얀색 반점(White spot),


피부과에서 피부 기미, 주근깨 제거하듯


미르에서 자연치아를 보존하면서 치아반점 치료가 가능합니다.

  • No Removal

    자연치아 보존 무삭제
  • In No Time

    30 Minute 단시간
  • No Pain

    마취조차없는 무통증

아이콘테라피에서 가장 중요한 두 가지!

작은 반점 하나에도 이유가 있고, 치아를 지키는 방법에도 차이가 있습니다.

아이콘 테라피는 그 둘 모두를 섬세하게 고려합니다.

  • 첫째,

    왜 '치아 반점 치료'가 필요할까요?

    치아 반점은 초기 충치나 법랑질 형성 이상 등 다양한 원인으로 발생할 수 있으며,
    시간이 지나면 단순한 심미적 문제를 넘어 구강 건강까지 위협할 수 있습니다.


    작은 반점이라도 조기에 관리하는 것이 건강한 미소를 지키는 시작입니다.
  • 둘째,

    왜 ‘삭제 없는 치료’가 중요한가요?

    어느 무엇도 자연 그대로의 것 보다 나을 수는 없습니다.


    미르치과병원은 치아를 손상하지 않고 본연의 조직을 보존하는
    ‘아이콘 치료(비침습 레진 침투)’로 자연스럽고 안전하게 반점을 개선합니다.


    건강한 치아를 지키면서도, 아름다운 결과를 기대할 수 있습니다.

미르치과병원
약도 문자전송서비스

전송된 약도를 확인하시고 방문해 주시면 감사하겠습니다.

약도 문자전송

영문약도전송 Send rough map in English

미르치과병원
발렛파킹 서비스 운영 안내

미르치과병원은 병원에 내원하시는 분들의 편의와


주차의 불편함 최소화를 위해 주차타워 및 발렛파킹 서비스를 운영하고 있습니다.


자가용 이용 시 참고해 주시기 바라며, 주차직원의 안내에 따라주시기 바랍니다.
무삭제 라미네이트,

미라클네이트

CASE 보러가기

미라클네이트 다양한 케이스는
로그인 하시면 보실 수 있습니다.